產品介紹
- DNA萃取與純化
- RNA萃取與純化
- 蛋白質萃取與純化
- 細胞增生檢測相關試劑
- Exosomes 外泌體相關試劑
- PCR商品
- RT-PCR
- Western Blot
- Antibotic
- Cloning 相關商品
- 細菌培養
- BioTnA-化學染色試劑
- BioTnA-免疫染色試劑
-
Thermo Scientific™
- Environmental Sampling Vials and Closures (Critical environment products)
- 2D Bardcode 存儲管系列
- Nunc / Abgene™ 96孔盤/深孔盤/封膜機
- GA 標籤
- Nalgene Bottle
- Nalgene 三角錐瓶-Erlenmeyer Flasks
- 冷凍儲存系列產品
- Nalgene 離心管/離心瓶
- ELISA 酵素免疫分析盤
- Nunc™ 無菌刻度吸管_尖底離心管
- IVF 體外受孕系列產品
- Nalgene™ 過濾杯/過濾杯組
-
細胞培養 Cell Culture
- Nunc™ EasYFlask™ Flasks_細胞培養瓶
- Nunc™ EasYDish_細胞培養皿
- Nunc™ Assays Dishes / Multidishes_細胞培養多孔盤
- Nunc™ T300 Flask_細胞培養瓶
- Nunc™ TripleFlask_細胞培養瓶
- Nunc™ Lab-Tek / Lab-Tek II Chamber Slide_細胞培養玻片
- Nunclon™ Sphera 懸浮細胞培養瓶
- Nunc™ UpCell™ Surface
- Nunc™ Square BioAssay Dishes_方形細胞培養皿
- Nunc™ Cell Factory™ Systems_細胞工廠
- Cell Culture Inserts
- Nalgene 洗滌瓶_Wash Bottle
- Nalgene Jars 廣口罐/梅森瓶
- Nalgene Carboy
- Detergent/Reagent
- Nalgene 吸水墊/Tubing/其他產品
- 基礎理化儀器
-
ServiceBio 儀器總覽
- Servicebio 研磨機系列
- Servicebio 封膜機系列
- Servicebio 冷光照相系統
- Servicebio 紫外光DNA膠體成像系統
- Servicebio PCR儀
- Servicebio 雷射標籤機
- Servicebio 電泳系列
- Servicebio 乾浴器系列
- Servicebio 桌上型離心機系列
- Servicebio 震盪器
- Servicebio 熱攪拌系列
- Servicebio 試管震盪系列
- Servicebio 微量分注器pipette
- Servicebio 桌上型抽吸/過濾器
- Servicebio 電動分注器
- Servicebio 加珠筆
- Servicebio 梯度製膠儀
- Servicebio 顯微照相系統
- Servicebio 細胞計數儀
- Servicebio 液態氮桶
- Servicebio 樣本保冰盒
- Servicebio病理相關儀器
- Servicebio 精密分析天秤
- Servicebio 碎冰製冰機
- Servicebio 自動核酸萃取儀
- ServiceBio 耗材總覽
- Servicebio 試劑總覽
- Servciebio 病理相關試劑
- Servicebio 細胞治療相關商品
- Servicebio 生物科技工業原料/酶
- Servicebio 細胞培養相關試劑
- Servciebio 抗體
- 禾聯家電
- 會員點數兌換專區
- Labobanker 細胞凍液
- Leadgene
- BT Lab
- Affinity
- BioTnA
- Sinobiological
- Reedbiotech
- Abbkine
- Himedia
- 真空幫浦
- 真空過濾系統
- 廢液抽吸系統
- 超音波洗淨機
- 滅菌鍋 Ⅰ
- 滅菌鍋 Ⅱ
1 /
1
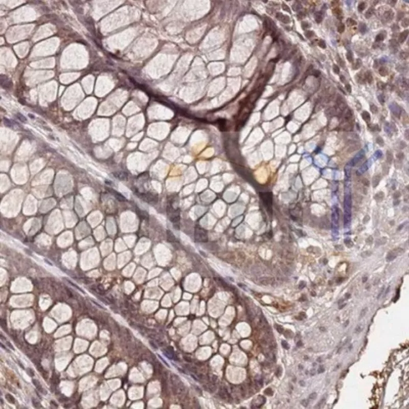
Affinity Collagen II Antibody
商品編號:AF0135
- 折扣價:NT$
- 售價:NT$
- 定價:NT$
- 使用紅利點數:點
產品庫存:0
| Products: | Collagen II 抗體 |
| Catalog number: | AF0135 |
| Description: | Rabbit polyclonal antibody to Collagen II |
| Apply: | WB IHC IF/ICC |
| Document Validation: | WB, IHC, IF/ICC |
| React: | Human, Mouse, Rat |
| Forecast: | Bovine, Horse, Sheep, Rabbit, Chicken, Xenopus |
| Molecular weight: | 140kDa, 30~50kd(possible isoform); 142kD(Calculated). |
| Protein Number: | P02458 |
| RRID: | AB_2833318 |
產品庫存:0
- 折扣價:NT$
- 售價:NT$
- 定價:NT$
