本網站使用cookies為您提供更好的用戶體驗。繼續使用本網站表示您同意我們的隱私權政策
賾屨有限公司
  • 關於我們
  • 最新消息
  • 產品介紹
  • 代理品牌
  • 客製化服務
  • 聯絡我們
MENU
( )
  • 繁體中文
  • English
(0)
query icon (0)
search
立即諮詢
CLOSE
繁體中文 English
  • 關於我們
  • 最新消息
  • 產品介紹
  • 代理品牌
  • 客製化服務
  • 聯絡我們

購物清單(0)

CLOSE
小計: -
前往結帳

詢問清單(0)

CLOSE
前往詢問
CLOSE

會員登入

驗證碼
登 入 加入會員
忘記密碼 | 重發認證信
非會員查詢訂單
忘記密碼
帳 號
驗證碼
驗證碼
確定送出
重發認證信
帳 號
驗證碼
驗證碼
確定送出
logo

細胞/組織病理免疫影像分析服務

  • 首頁
  • 客製化服務
  • 細胞/組織病理免疫影像分析服務
客製化服務
  • 蛋白與核酸萃取服務
  • 合成服務
  • Real-time qPCR定量分析
  • 蛋白質體學分析服務
  • 細胞/組織病理免疫影像分析服務
  • 動物行為學分析服務
  • 組織病理染色服務
  • 組織玻片全景掃描服務
  • Servicebio 客製化商品服務 (OEM)
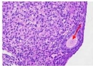
卵巢組織測量分析服務 (卵泡數量)
2025-01-14
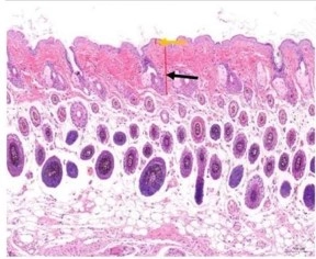
皮膚組織測量分析服務 (毛囊數量/表皮與真皮厚度/損傷深度與寬度)
2025-01-14
子宮組織測量分析服務 (子宮腺/子宮內膜厚度)
2025-01-14
肌肉組織測量分析服務
2025-01-14
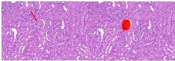
腎組織測量分析服務 (腎小球面積/數量)
2025-01-14
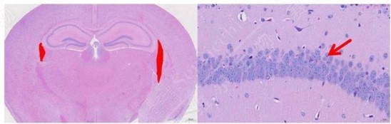
腦神經元測量分析服務
2025-01-14
  • 1
  • 2
  • 3
頁尾logo

賾屨有限公司

  • 公司電話:07-3239898
  • 公司傳真:07-3239797
  • 總公司:高雄市三民區中華二路387號
台中辦公室:台中市西區台灣大道二段186號24樓RH01 台北辦公室:新北市三重區忠孝路二段104號1樓
立即諮詢 粉絲專頁
採用全球最先進SSL 256bit 傳輸加密機制
建議使用Chrome、Firefox、Safari最新版本瀏覽
賾屨有限公司
隱私權政策 購物說明
立即諮詢